环医疗新闻
在家中测血压有哪些注意事项?
1年前
腺样体肥大到底要不要切?请看这里→
1年前
运动是良医 | 健康骑行有技巧,这3个重点你知道吗?
1年前
世界卒中日 | 体检发现“缺血灶”“腔梗灶”,是脑梗死吗?
1年前
体检
世界卒中日
缺血灶
腔梗灶
脑梗死
这5种药不宜长期服用,或破坏身体免疫力
1年前
破坏身体
免疫力
为何孩子常说肚子疼?该怎么办?
1年前
医心系红土,盛世如所愿
1年前
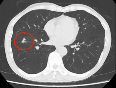
胸部CT常见的影像表现及对应的诊断要点
1年前
“2022健康中国妇产科领域先锋人物”获奖结果揭晓
3年前
<<
1
2
一周热门
为何孩子常说肚子疼?该怎么办?
环医疗
1
这5种药不宜长期服用,或破坏身体免疫力
环医疗
2
人民健康系统工程上海总部在沪落成
环医疗
3
环医疗
牙齿矫正选隐形牙套?四大品牌核心技术解析+优质推荐
环医疗
胸部CT常见的影像表现及对应的诊断要点
环医疗
在家中测血压有哪些注意事项?
环医疗
Unchained Labs:以智能自动化助力蛋白与纳米颗粒深度研发
环医疗
“2022健康中国妇产科领域先锋人物”获奖结果揭晓
环医疗
更年期不再难熬!达龄Reju28内调卵巢,让你优雅度过
环医疗
为何孩子常说肚子疼?该怎么办?
环医疗
腺样体肥大到底要不要切?请看这里→
中医养生
头条
医疗
医药
医美
中医
医展
品牌
医生
医院
×
#热门搜索#
腔梗灶
免疫力
世界卒中日
缺血灶
体检
脑梗死
破坏身体